Rice Science ›› 2016, Vol. 23 ›› Issue (1): 42-50.DOI: 10.1016/j.rsci.2016.01.005

• Orginal Article • Previous Articles     Next Articles

Morphological and Genetical Variability among Rhizoctonia solani Isolates Causing Sheath Blight Disease of Rice

Rahman Moni Zakiah1, Ansar Ali Md2, Shahidul Alam Md3, Asif Rahman Md4, Rejwan Bhuiyan Md4,5, Salim Mian Md4,5, Md Iftekharuddaula Khandakar1, Abdul Latif Md4,5, Ashik Iqbal Khan Mohammad4,5()   

  1. 1Plant Breeding Division, Bangladesh Rice Research Institute, Gazipur 1701, Bangladesh
    2Director Research, Bangladesh Rice Research Institute, Gazipur 1701, Bangladesh
    3Department of Botany, Rajshahi University, Rajshahi 6205, Bangladesh
    4Department of Genetics and Plant Breeding, Bangabandhu Sheikh Mujibur Rahman Agricultural University, Salna, Gazipur 1706, Bangladesh
    5Plant Pathology Division, Bangladesh Rice Research Institute, Gazipur 1701, Bangladesh
  • Received:2015-06-18 Accepted:2015-08-18 Online:2016-01-20 Published:2015-11-05

Abstract:

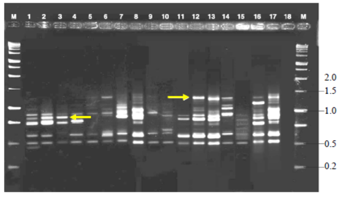
Eighteen isolates of Rhizoctonia solani collected from infected rice plants in four different locations of Bangladesh were studied by using morphological characters and molecular markers. Anastomosis study with a reference isolate confirmed that all the isolates belonged to R. solani. Significant variation was observed in sclerotial size, shape and distribution. Un-weighted pair group method with arithmetic mean dendrogram constructed based on the Gower’s general similarity coefficient showed that these isolates were grouped into four clusters at the 0.68 similarity coefficent according to morphological characters. Cluster I was a major cluster consisting of 13 isolates, while clusters II to IV consisted of 1 or 2 isolates. Analyses by variable number of tandem repeat and amplified fragment length polymorphism markers showed that the isolates were grouped into five and three clusters at a similarity coefficient of 0.64 and 0.69, respectively. Although most of the variability was found between isolates from different regions as expected, significant variation was observed within the isolates collected from similar agro-ecological regions. Our results suggest the presence of different races of R. solani within the same local geographic regions.

Key words: rice, Rhizoctonia solani, fungal variability, molecular marker, morphological character